Na endoscopia, o achado de elevações ou protuberâncias recobertas por mucosa normal, que levam o nome genérico de lesões subepiteliais, é frequente (1 em cada 300 exames). São muitas vezes um desafio para o endoscopista pela dificuldade em definir a sua origem (podem fazer parte da parede do órgão ou não) e obter material adequado para o diagnóstico definitivo.
Os pacientes, em geral, são assintomáticos, mas podem apresentar sangramento digestivo, sinais de obstrução como vômitos, distensão abdominal ou disfagia (dificuldade para engolir).
A maioria das lesões subepiteliais são pequenas e benignas, no entanto, dependendo do tamanho, história clinica e localização precisam ser adequadamente estudadas.
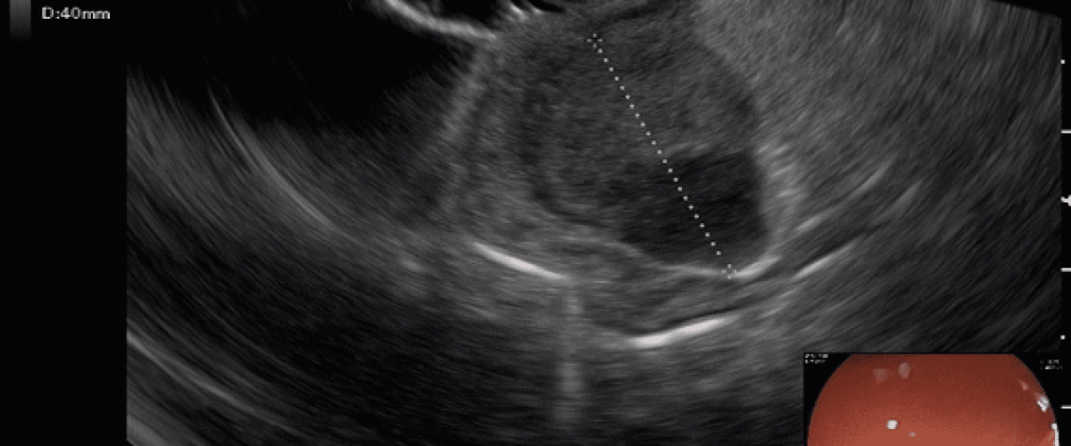
A ecoendoscopia, também conhecida como ultrassom endoscópico, é o método de escolha para o estudo e o diagnóstico dessas lesões, principalmente quando estas atingem 1 cm ou mais de tamanho. Lesões menores, dependendo da localização e história clinica, podem ser acompanhadas pela endoscopia tradicional.
O exame de ecoendoscopia é capaz de definir a sua origem, tamanho e possíveis características preocupantes. Quando indicadas, a punção ou a biópsia por agulha podem ser realizadas durante o exame, determinando o diagnóstico definitivo com excelente acurácia.
Prof. João Nebel
Ficou com alguma dúvida ou deseja marcar uma consulta? Entre em contato através dos nossos telefones: (21) 3547-5563 ou (21) 98020-8081 (WhatsApp).
Além disso, para acessar mais conteúdos informativos, acompanhe o nosso Instagram. Ou, se preferir, realize agendamentos pelo nosso site aqui.





